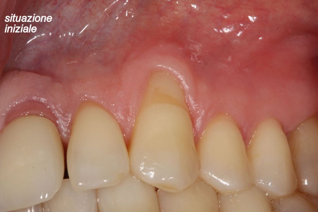
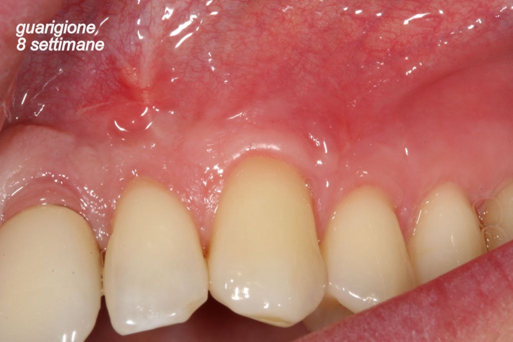
Parodontologia Caso A
Situazione iniziale: è evidente un notevole calo della gengiva (recessione gengivale) con scopertura della radice del dente con notevole danno estetico e sensibilità dentinale agli stimoli temici.
Situazione finale: dopo l’intervento chirugico di innesto gengivale nella quale si apprezza un notevole miglioramento della situazione sia sotto il profilo estetico che sintomatologico.
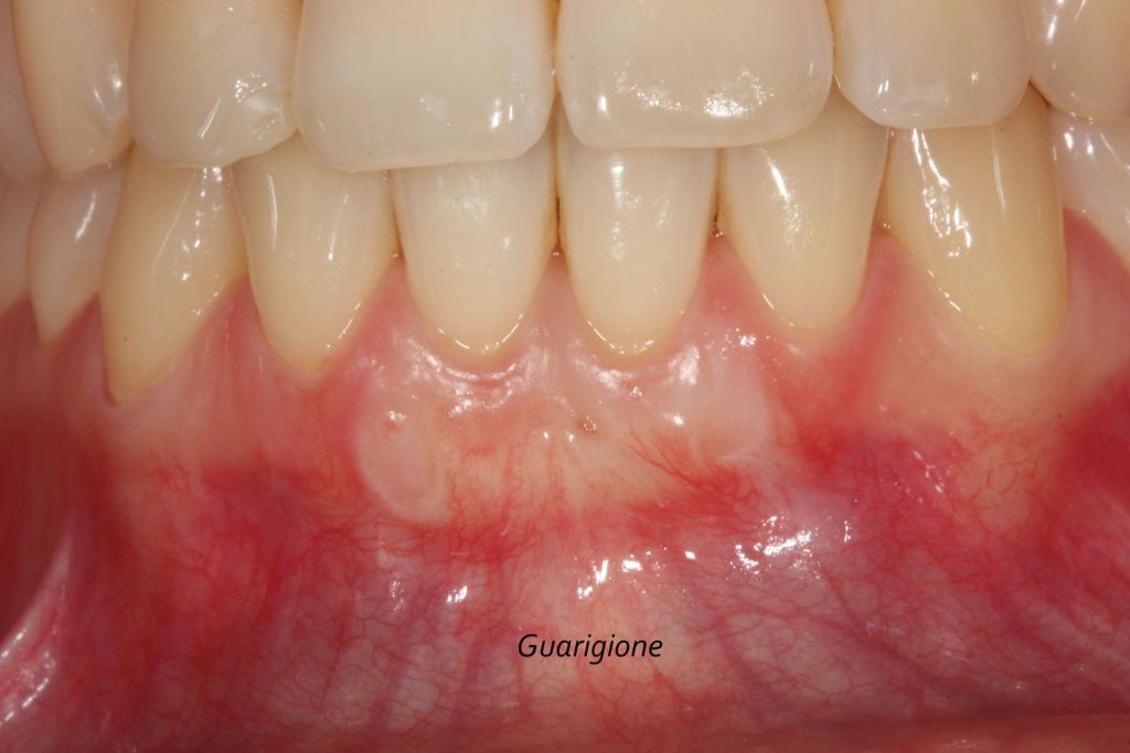
Parodontologia Caso B
Situazione iniziale: si evidenziano recessioni multiple negli incisivi centrali inferiori.
Situazione finale: dopo l’intervento chiurgico di innesto gengivale nella quale si apprezza come in entrambi gli incisivi centrali inferiori si sia proceduti alla ricostruzione un profilo mucogengivale anatomicamente e esteticamente corretto.
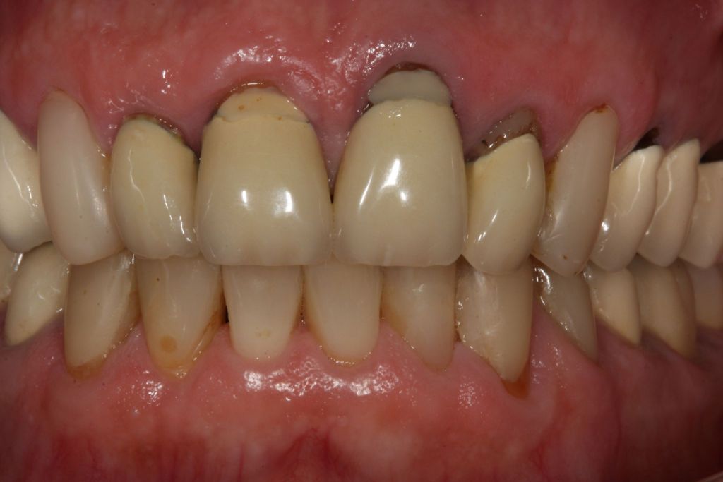
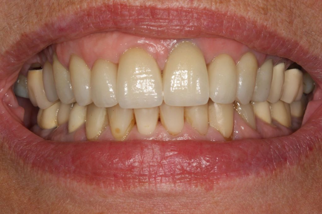
Protesi Fissa (Disilicato)
Situazione iniziale: la paziente presenta di vecchi manufatti protesici (capsule) incongrui con sofferenza dei tessuti gengivali e processi cariosi a livello dei colletti dentali.
Situazione finale: nella quale si apprezza la riabilitazione del sorriso del paziente con nuove capsule realizzate in ceramica integrale metal-free.
Conservativa
Situazione iniziale: la paziente esprime il desiderio di migliorare l’estetica del suo sorriso.
Situazione finale: si aprrezzano ricostruzioni estetiche in materiale composito.
